Zahnärzte in Viernheim
Gesunde und schöne Zähne: Wir bieten Ihnen das gesamte Spektrum der modernsten Zahnmedizin. Als eingespieltes Team mit zertifizierten Spezialisten behandeln wir Erwachsene, Jugendliche und Kinder. Ob kleiner Eingriff oder komplexe Behandlung – Sie profitieren von unserer vielfältigen Kompetenz, unseren innovativen Behandlungsmethoden sowie unserer umfassenden Erfahrung.
Unser Praxiszentrum in Viernheim ist nahe dem Rhein-Neckar-Zentrum gelegen und unsere Familienpraxis finden Sie in Heddesheim. Rufen Sie einfach an oder nutzen Sie unsere praktische Online-Terminanfrage. Wir freuen uns auf Sie!



Vorsprung fühlen – Exzellenz erleben
Zahnmedizinische Versorgung auf höchstem Niveau
Um eine exzellente zahnmedizinische Versorgung anzubieten, vereinen wir modernste Zahnheilkunde mit vielfältigen und ganzheitlichen Behandlungsmethoden. Um jeden Patienten bestmöglich zu versorgen, arbeiten wir mit einem hochqualifizierten Spezialisten-Team, welches über umfassendes Wissen und tiefgreifende Expertise verfügt.
Hinzu kommt eine erstklassige technische Ausstattung – beispielsweise in Form einer hochpräzisen 3D-Diagnostik oder minimalinvasiven Behandlungen. Unser praxisintegriertes, zahntechnisches Meisterlabor komplettiert unseren „Alles unter einem Dach“-Service.
Wir fangen oft dort an, wo andere aufhören: Mit unserem Center of Excellence garantieren wir so eine zahnmedizinische Versorgung auf höchstem Niveau, auf die sowohl Patienten als auch Zahnarzt-Kollegen gleichermaßen vertrauen. Wir genießen internationale Anerkennung und sind eine von der Deutschen Gesellschaft für orale Implantologie anerkannte Weiterbildungsstätte. Ein Erfolg, der uns anspornt, neuestes Wissen und innovative Konzepte umzusetzen und mit anderen zu teilen – zum Wohl der Patienten.
Komfort ist für uns ein wesentlicher Bestandteil in der Behandlung unserer Patienten. Wir bieten Ihnen barrierefreie Räumlichkeiten sowie kostenfreie Parkplätze direkt vor der Tür. Das stilvolle Wohlfühl-Ambiente und unser freundliches Fachpersonal gestalten den Zahnarztbesuch für Sie so angenehm wie möglich.
Zusätzlich zur deutschen Sprache bieten wir Ihnen die Betreuung außerdem auf Englisch, Russisch und Italienisch. Von der ersten Beratung bis hin zu Ihrem schönsten Lächeln: Wir sind für Sie da!
Ihr Praxis-Team
Dr. Bergmann & Kollegen, Zahnärzte in Viernheim & Heddesheim.

Modernster Technik lassen wir gerne den Vortritt!
Arzt und Zahntechniker arbeiten Hand in Hand
Wir planen Ihren Zahnersatz im Team, um optimale und extrem präzise Ergebnisse zu fertigen sowie Reparaturen schnell zu erledigen. Dabei sind wir spezialisiert auf Spezialisiert auf Implantate, Vollkeramik und Ästhetik
Um Ihnen ein hochqualitatives Ergebnis zu bieten, ist unser zahntechnisches Meisterlabor nicht nur mit modernsten Geräten und Werkstoffen ausgestattet, sondern zudem auch mit 6Technikern und 3 Zahntechniker-Meistern. Unser Ziel ist es, Ihnen ein strahlendes Lächeln zurückzugeben!
Weiblich, 40 Jahre, Verlust der 4 Oberkieferfrontzähne durch eine Infektion. Therapie: 3 Implantate – Weiß und fest, statt locker und herausnehmbar.
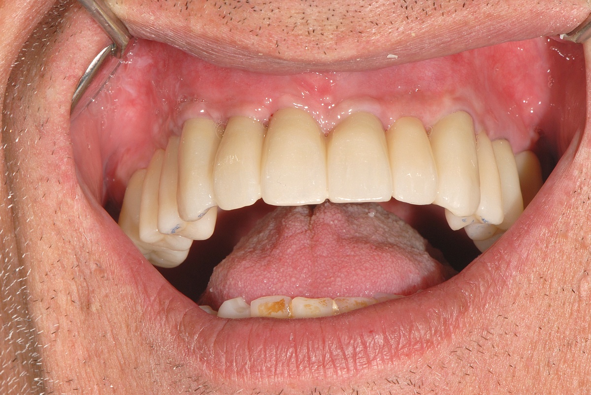
Männlich, 60 Jahre, zahnloser entzündeter, schmerzender Oberkiefer. Therapie: Entfernung aller Zähne im Oberkiefer und Beseitigung Entzündungsgewebe, digital hergestellte und festsitzende Keramikbrücke (8 Implantate)
Patient: Männlich, 50 Jahre alt, zahnloser Ober- und Unterkiefer durch Unfall und Wachstumsstörung im Kindesalter. Therapie: 4 Implantate im Unterkiefer.
Patient: 30 Jahre, Verlust Schneidezahn Oberkiefer durch Unfall. Therapie: Volldigitaler Implantatersatz aus Vollkeramik OHNE Abdruck - rein digitale Herstellung.
Dr. Fred Bergmann Zahnarzt für Oralchirurgie
Dr. Eva Endlweber Zahnärztin für Oralchirurgie
Dr. Axel Wunder Zahnarzt
Dr. Christina Haupt Zahnärztin
Dr. Monika Bottelberger Zahnärztin
Dr. Marie Rieping Zahnärztin
Dr. Denise Orenstein Zahnärztin
ZA Markus Olsson Zahnarzt
ZA Axel Schulz-Siepen Zahnarzt
Dr. Anna- Lena Bergmann Zahnärztin
Vorreiter für Innovation und Vielfältigkeit.
Sie suchen eine Praxis für alle Ihre zahnmedizinischen Anliegen? Dann sind sie hier richtig: Als Vorreiter modernster Zahnmedizin bieten Ihnen unsere hochkompetenten Fachspezialisten in unserem „Center of Excellence“ ein Komplettpaket mit innovativen Behandlungsmethoden.

Wussten Sie das schon?

Für Sie binden wir regelmäßig einen bunten Strauß an Neuigkeiten. Stöbern Sie nach Herzenslust in der Auswahl an guten, interessanten und manchmal auch amüsanten Nachrichten aus dem Zentrum für Zahngesundheit. Ebenso finden Sie hier alle Veranstaltungen, bei denen Dr. med. dent. Fred Bergmann und sein Team als Referenten auftreten oder aufgetreten sind.

Ausgezeichnete Qualität: Wir freuen uns über das Praxis+Award-Siegel 2025








































